Close Menu
Portal FNTPortal FNT

    Subscribe to Updates

    Get the latest creative news from FooBar about art, design and business.

    Westbrook Racing Faz Parceria com a Holafly, Fornecedora Global de eSIM, para Campeonato E1 de 2026

    24 de abril de 2026

    Bitget Avança Estratégia de Ativos Múltiplos com a 2ª Posição Global no Ranking de Stock Perpetuals no 1º trimestre de 2026

    24 de abril de 2026

    A Andersen Global expande sua presença na África com o lançamento de firma-membro em Camarões

    23 de abril de 2026
    Facebook X (Twitter) Instagram YouTube WhatsApp
    FNT no Fato
    • Westbrook Racing Faz Parceria com a Holafly, Fornecedora Global de eSIM, para Campeonato E1 de 2026
    • Bitget Avança Estratégia de Ativos Múltiplos com a 2ª Posição Global no Ranking de Stock Perpetuals no 1º trimestre de 2026
    • A Andersen Global expande sua presença na África com o lançamento de firma-membro em Camarões
    • NIQ e INTAGE HD firmam parceria para expandir a mensuração do varejo no Japão e em mercados globais
    • A Venture Global anuncia o fechamento de emissão de US$ 750.000.000 em Notas Sênior Garantidas pela Venture Global Calcasieu Pass, LLC
    • Da operação manual à automação embutida: Futurionex e MicAi-X estabelecem um novo paradigma global para trading automatizado
    • NIQ lança Commerce Lab para construir a camada de dados e métricas para o comércio orientado por IA
    • EXCLUSIVO: Surto de hepatite em penitenciária de Franca leva a isolamento de presos e mobiliza a Justiça
    • Milhões de Planos: Fonte de Sedução lança parceria
    • Dia da Terra marca o nascimento do ambientalismo moderno
    Portal FNTPortal FNT
    • Home
    • Cairo Still
    • Sem Travas
    • Local
    • Familia Verzola
    • HUMANARTE
    • Mulher Q Empreende
    • Fato Esportivo
    • Porça News
    • Agora Franca
    • Intelecto Saber
    • +Colunas
      • Sociedade Organizada
      • Rádio FNT
      • Região
      • Viva Saudável
      • Edgar Ajax
      • Vitamina Podcast
      • Cultura
      • Brasil
      • Cultura
      • Tecnologia
      • Natureza Online
      • Still Audiovisuais
      • Uma Palavra de Fé
      • NOTÍCIAS CORPORATIVAS
    Portal FNTPortal FNT
    Início » Lentes de contato dental podem ser aplicadas em restaurações
    Notícias Corporativas

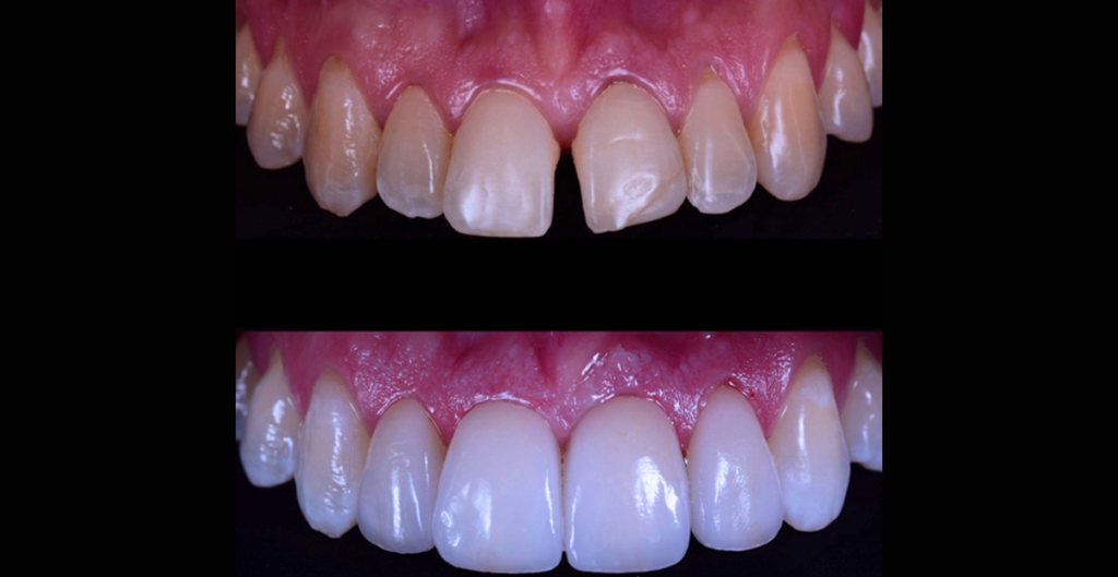
    Lentes de contato dental podem ser aplicadas em restaurações

    DINOBy DINO6 de outubro de 2023
    Lentes de contato dental podem ser aplicadas em restaurações
    Lentes de contato dental podem ser aplicadas em restaurações

    Atualmente a aplicação das lentes de contato dental se tornou uma das opções no que diz respeito a tratamentos restauradores dentários. Através de sua utilização, é possível retomar a funcionalidade, a naturalidade e devolver a estética do sorriso. O procedimento tornou-se conhecido principalmente pelos relatos de pessoas famosas e influenciadores digitais em seus perfis de redes sociais, onde comentam sobre as vantagens e, também, possíveis ajustes e correções que são necessários a depender do caso. 

    De acordo com a Associação Brasileira de Odontologia (SBO), para colocação das lentes dentais é preciso realizar um acompanhamento prévio que inclui planejamento, preparo adequado dos dentes, confecção das lentes, definição de cor e formato, etc. Essa aplicação também se diferencia de outros tratamentos odontológicos devido a intervenção menos invasiva, fazendo com que a integridade dos dentes naturais seja preservada.

    Segundo Rodrigo Cotta, dentista e CEO da clínica de odontologia Ortocenter, o resultado dessa técnica resulta em uma abordagem que conserva mais a dentição e é menos dolorosa. “A lente de contato dental corrige imperfeições dentárias e eleva a autoestima dos pacientes, além de ser uma aplicação mais facilitada. Na Ortocenter, é um dos procedimentos mais procurados”, afirma o dentista. 

    O especialista destaca alguns dos principais resultados esperados pelos pacientes de acordo com a escolha do procedimento:

    • Alta durabilidade: podem durar até 15 anos, quando mantidos os cuidados básicos de limpeza e higiene.
    • Correção no desalinhamento dos dentes: a aplicação das lentes dentais pode corrigir pequenos desalinhamentos nos dentes. Em alguns casos, pode-se dispensar a utilização de aparelhos ortodônticos; 
    • Baixa manutenção: mantendo a higienização regular, as lentes dentais tendem a não alterar a cor e não se descolar antes do tempo.

    Busca por publicidade do procedimento

    Segundo Angélica Bandeira, gestora de tráfego pago e CEO da ABC, agência de marketing digital em BH, os dentistas de sua agência têm investido cada vez mais em publicidade para esse tipo de tratamento bucal.  “Os dentistas de nossa agência estão optando por trabalhar mais o marketing digital neste segmento de lentes dentais no intuito de captar os que procuram pelo tratamento e também despertar o interesse de quem ainda não conhece”, afirma a especialista.

    Para saber mais, basta acessar: https://ortocenter.net.br/

    ESTILO DE VIDA MARKETING NEGÓCIOS SAÚDE E BEM-ESTAR tecnologia

    Related Posts

    Westbrook Racing Faz Parceria com a Holafly, Fornecedora Global de eSIM, para Campeonato E1 de 2026

    24 de abril de 2026

    Bitget Avança Estratégia de Ativos Múltiplos com a 2ª Posição Global no Ranking de Stock Perpetuals no 1º trimestre de 2026

    24 de abril de 2026

    A Andersen Global expande sua presença na África com o lançamento de firma-membro em Camarões

    23 de abril de 2026
    -Clique e ouça
    Posts Recentes
    • Westbrook Racing Faz Parceria com a Holafly, Fornecedora Global de eSIM, para Campeonato E1 de 2026
    • Bitget Avança Estratégia de Ativos Múltiplos com a 2ª Posição Global no Ranking de Stock Perpetuals no 1º trimestre de 2026
    • A Andersen Global expande sua presença na África com o lançamento de firma-membro em Camarões
    • NIQ e INTAGE HD firmam parceria para expandir a mensuração do varejo no Japão e em mercados globais
    • A Venture Global anuncia o fechamento de emissão de US$ 750.000.000 em Notas Sênior Garantidas pela Venture Global Calcasieu Pass, LLC
    Sobre nós

    Sua fonte para as notícias de qualidade, sem tendências políticas e ideológicas, a verdade sem manipulação. “Jornalismo Raiz”.

    Aceitamos sugestões de pauta.

    Envie-nos um e-mail: jornalismo@fatonoato.com.br

    Facebook Instagram YouTube
    Fato no Insta e Face
    • Instagram
    • Facebook
    Veja Também
    Entretenimento

    João Bosco & Vinícius comandam última noite do Restinga Rodeo Music nesta segunda

    By Cairo Still

    A noite também conta com a grande final das montarias em touros; os portões serão…

    Matheus & Kauan arrastam multidão na abertura do Restinga Rodeo Music 2026

    18 de abril de 2026

    Ponto de Cultura Três Colinas sedia Celebração da Tradição

    15 de abril de 2026

    Restinga Rodeo Music começa nesta sexta com show de Matheus & Kauan

    15 de abril de 2026
    Arquivos
    • abril 2026
    • março 2026
    • fevereiro 2026
    • janeiro 2026
    • dezembro 2025
    • novembro 2025
    • outubro 2025
    • setembro 2025
    • agosto 2025
    • julho 2025
    • junho 2025
    • maio 2025
    • abril 2025
    • março 2025
    • fevereiro 2025
    • janeiro 2025
    • dezembro 2024
    • novembro 2024
    • outubro 2024
    • setembro 2024
    • agosto 2024
    • julho 2024
    • junho 2024
    • maio 2024
    • abril 2024
    • março 2024
    • fevereiro 2024
    • janeiro 2024
    • dezembro 2023
    • novembro 2023
    • outubro 2023
    • setembro 2023
    • agosto 2023
    • julho 2023
    • junho 2023
    • maio 2023
    • abril 2023
    • março 2023
    • fevereiro 2023
    • janeiro 2023
    • dezembro 2022
    • novembro 2022
    • outubro 2022
    • setembro 2022
    • agosto 2022
    • julho 2022
    • junho 2022
    • maio 2022
    • abril 2022
    • março 2022
    • fevereiro 2022
    • janeiro 2022
    © 2026 ThemeSphere. Designed by Grupo Rádio Empresa Brasil.

    Type above and press Enter to search. Press Esc to cancel.